BOZUK DİŞLERİ ESKİ HALİNE GETİRİYOR, 40 YIL DÜŞÜNSENİZ AKLINIZA GELMEZ
Uzun yıllar a-spirin ağrı kesici olarak kullanıldı, bir dönem a-spirinle alakalı olumsuz söylemler doğsa da bilim insanları bu söylemleri yalanladı ve a-spirin ün kazanmaya devam etti. Bilinen en meşhur ağrı kesici a-spirin artık diş çürüklerinin onarılmasında da çok etkili. Kim bilir başka hangi sağlık problemlerine iyi geliyor bilim insanları bunları araştırmaya devam ediyor.
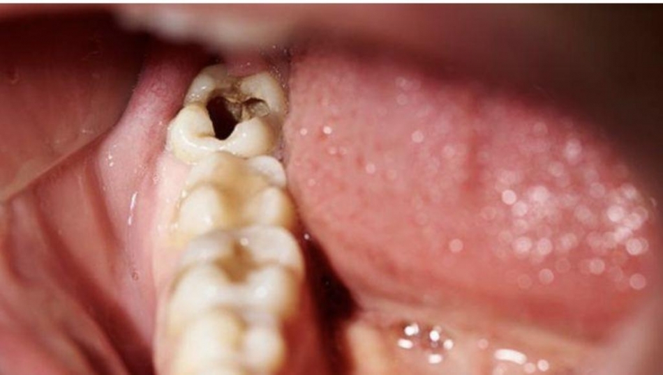
Dişlerin Yenilenmesinde Büyük Rol Oynuyor
Genelde diş çürümesinde kullanılan tedavi bellidir çürük çok ilerlememişse dolgu yapılır, çürük ileri seviyedeyse kanal tedavisi ile diş kurtarılmaya çalışılır. Diş kanal tedavisi ile de kurtarılmıyorsa dişin çekilmesi gibi bir durum ortaya çıkabilir.
Prof. Ikhlas El Karim, Queen's Üniversitesinde yaptığı araştırmalar ile kendinden sıkça söz ettiriyor. Biyomedikal bilimler başkanı olan El Karim, a-spirinin diş dolgusu yerini alabilecek bir yapıda olduğunu bu konudaki araştırma sonucunda dolgu olmadan dişleri eski sağlığına döndürebilmenin mümkün olduğundan söz ediyor.
Diş kökünde bulunan hücreleri arttırabilmek dişin çürük dokusunun eski haline gelmesini sağlıyor ve a-spirin bu noktada diş kökünde bulunan hücrelerin çoğalması için çok etkili öneme sahip.
Anladığımız üzere, a-spirin hücre yenilenmesinde etkili peki baş ağrımıza iyi gelmesinin sebeplerinden biri de hücreleri yeniliyor olması olabilir mi? Haberimizin devamını okumak için Lütfen sonraki sayfaya geçiniz..
- Geri
- Ana Sayfa
- Normal Görünüm
- © 2014 Haberdarım
