HANİ KURTULAMADIĞIMIZ O SİVİLCELER VAR YA BAKIN NEDEN ÇIKIYORMUŞ!
HANİ KURTULAMADIĞIMIZ O SİVİLCELER VAR YA BAKIN NEDEN ÇIKIYORMUŞ!
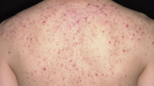
11. ve 12. Bölge : Sırt bölgesi alerji, aşırı terleme, kullanılan şampuan ve jeller, dar giysiler gibi etkenlerin sonucu en yaygın akne oluşan bölgedir. Ayrıca yetersiz uyku ve yüksek kalorili besinler sonucu sırtta sivilce oluşumları gözlenmiştir. 13. ve 14. Bölge : Kalça bölgesindeki sivilcelere coğunlukla dar hava almyan kirli çamaşırlar, yetersiz ve dengeli beslenme, soğuk içecekler sebep olmaktadır. Nemlendiri, temiz ve pamuklu iç çamaşırları ve düzgün beslenme bu probleminizi çözmeye yardım edecektir.
- Geri
- Ana Sayfa
- Normal Görünüm
- © 2014 Haberdarım
