• Güncel
  • Hikayeler Fıkralar
  • Spor
  • Magazin
  • Sağlıklı Faydalı Bilgiler
  • Dualar Dini Bilgiler
  • Eğitim
  • Teknoloji
  • Kadın
  • Aşk & İlişkiler
  • Sinema
  • ASAYİS
  • EKONOMİ
  • Tarif Portalı
  • GÜNDEM
  • Komedi & Mizah
  • ULUSAL
  • YEREL
  • Moda
  • Siyaset
  • ANA SAYFA
  • KATEGORİLER

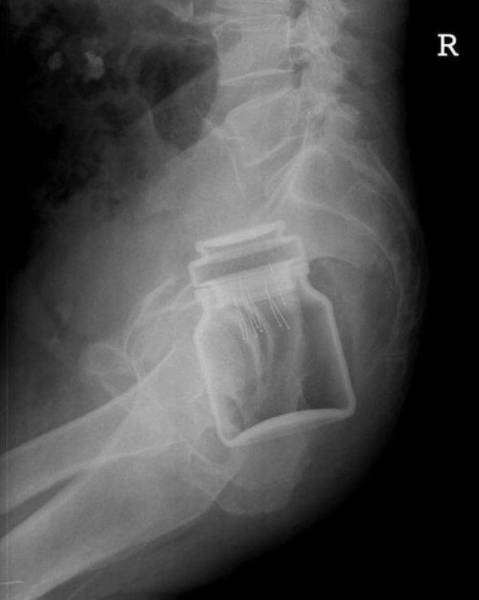
İÇİNDEKİ ŞEYE RÖNTGEN UZMANLARI ŞOK OLDU!

İÇİNDEKİ ŞEYE RÖNTGEN UZMANLARI ŞOK OLDU! galerisi resim 4
  • Önceki
  • 4 / 17
  • Sonraki
İÇİNDEKİ ŞEYE RÖNTGEN UZMANLARI ŞOK OLDU!

RÖNTGEN UZMANLARI ŞOK OLDU!

,Dünyada çekilen bu röntgenler hem röntgen uzmanlarını hemde görenleri şok ediyor...

Haberin devamı diğer sayfada...

  • Geri
  • Ana Sayfa
  • Normal Görünüm
  • © 2014 Haberdarım