Diş taşlarınızı evde hazırlayacağınız doğal karışımlarla yok etmek artık
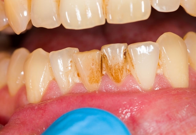
21 Haziran 2017 Çarşamba 19:09Kahve ve sigarayı fazla tüketen insanlarda diş plakları koyu sarı olur. Plak diş çürümelerine ve diş kaybına neden olduğu için en başta önlem almak gerekir. Diş taşlarınızı evde birkaç yöntemle yok edebilirsiniz.
Tüm Hakları Saklıdır © 2014 Haberdarım | İzinsiz ve kaynak gösterilmeden yayınlanamaz.
Haber Yazılımı: So Bilişim
Haber Yazılımı: So Bilişim














