HAZIRLAMASI SADECE 2 DAKİKA SÜREN O MUCİZEVİ KARIŞIM!
19 Kasım 2015 Perşembe 11:56Limon ve karbonatın diş beyazlatmada nasıl kullanılacağını haberimizde bulabilirsiniz.
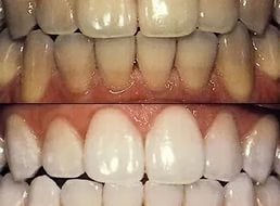
Birkaç damla limon suyu ve bir çay kaşığı karbonatı bir fincanda karıştırın.
Karışım macun kıvamına gelinceye kadar karıştırmaya devam edin. Elde ettiğini
macunu bir diş fırçası kullanarak ya da parmağınızın ucuyla dişlerinize uygulayın.
Macunu özellikle dişlerinizin lekeli kısmına iki dakika boyunca ovarak uygulayın.
İki dakikadan fazla uygulamamaya dikkat edin.
Tüm Hakları Saklıdır © 2014 Haberdarım | İzinsiz ve kaynak gösterilmeden yayınlanamaz.
Haber Yazılımı: So Bilişim
Haber Yazılımı: So Bilişim














