Korona virüsün yeni bir belirtisi daha ortaya çıktı
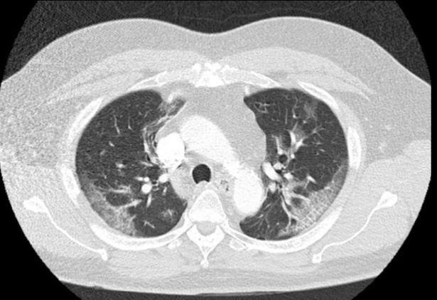
26 Ağustos 2020 Çarşamba 16:58The American Journal of Emergency Medicine'da yayımlanan bir makalede dört gün boyunca hıçkırık tutan bir adamda korona virüsü tespit edildiği belirtildi. Uzmanlar bunun "korona virüsünün yeni belirtisi" olabileceğini duyurdu. Makalede, 62 yaşındaki Chicagolu bir adamın dört gün boyunca hıçkırdığı ve bunun aralıksız devam ettiği kaydedilirken, "Hiç semptom göstermiyordu ve ateşi ölçüldüğünde de 37.3 derece ateşi vardı. Fakat hastaneye kaldırılıp testler derinleşince durum ortaya çıktı. Corona virüsü testi pozitif çıktı ve ciğerlerinin kapasitesinin de düştüğü görüldü.
Tüm Hakları Saklıdır © 2014 Haberdarım | İzinsiz ve kaynak gösterilmeden yayınlanamaz.
Haber Yazılımı: So Bilişim
Haber Yazılımı: So Bilişim














