Sürekli Baş a'ğrısı çekiyordu..
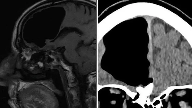
29 Mayıs 2023 Pazartesi 21:19Sadece başı ağrıyordu Mirror’ın haberine göre; Doktorlar, şiddetli baş ağrıları yaşayan kadının beyninde büyüyen bir tenya larvası buldular. Yadira Rost, şiddetli baş ağrılarıyla 9 ay önce tanıştı. Ve iyice şiddetlenen ve daha da kötüleşen bu ağrılar nedeniyle tıbbi yardım almaya karar verdi.Beyninde kurt larvası olduğu belirlenen kadın ameliyata alındı. 31 yaşındaki kadın şimdi 2 yıl önce yaptığı Meksika gezisinde hastalık kaptığına inanıyor. Meksika’da dışkı ile kontamine gıdaların yaygınlığı biliniyor. Ama çoğu insan bunu bir kaç gün içinde atlatıyor. Ancak Yadira için maalesef ki bu durum kolay olmadı ve larva beynine yerleşip, orada büyümeye devam etti. Haberimizin devamını okumak için Lütfen sonraki sayfaya geçiniz..
Tüm Hakları Saklıdır © 2014 Haberdarım | İzinsiz ve kaynak gösterilmeden yayınlanamaz.
Haber Yazılımı: So Bilişim
Haber Yazılımı: So Bilişim














