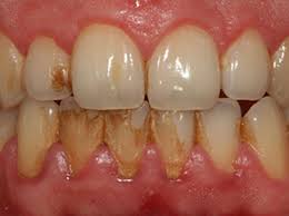
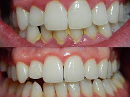
Diş minesine bakılmadığında tartar oluşur ve bu tartarlar temizlenmezse, enfeksiyonlar oluşur ve iltihaplı diş hastalıkları ortaya çıkabilir.Birazdan anlatacağımız bu kolay yöntem ile evinizde kolayca tartarları temizleyebilirsiniz. Üstelik sadece ceviz kabuğu kullanarak. Tüm dünyada çok yaygın kullanılan,

doğal bir diş tedavisi yöntemidir bu. Kendi diş dokturunuz kendiniz olun. Temel ağız hijyeni çok önemlidir. Ceviz Kabuğu İle Diş Temizleme Kürü Malzemeler : 40 gr kuru ceviz kabuğu 250 ml su Yapılışı: Kuru ceviz kabukları yaklaşık 20 dakika suda kaynatın. 20 dakika sonunda ocaktan alın ve soğumasını bekleyin.Soğuduktan sonra bu suyun içinde 10 dakika kadar diş fırçasını bekletin. Ardından, dişlerinizi tamamen bu fırça ile temizleyin. Ara sıra çözeltiye fırçayı yeniden daldırın.Bu işlem günde üç defa tekrarlanabilir.

Yani her diş fırçalamanız esnasında bunu uygulayabilirsiniz. Hazırlanan karışım en fazla iki gün kullanılmalıdır. 2 günün sonunda aynı tarif ile yeninden hazırlayın. verici olacak, göreceksiniz.Kabuklu ceviz, tartarları ve diş lekelerini temizlemeye yardımcı olan güçlü bir antibakteriyel şifadır.Bu prosedür, kanamalara maruz kalanlar için yararlıdır. Kullandığınız da iltihap hızlı bir şekilde kaybolur.

























Türkçe karakter kullanılmayan ve büyük harflerle yazılmış yorumlar onaylanmamaktadır.