Dişleri 2 Dakikada Beyazlatma Yöntemi 1- Yarım limonun suyunu dörtte biri kabartma tozuyla doldurulmuş bardağa sıkın.Oluşan karışım bir süre kendi kendine kaynayacak, durulmasını bekleyin..

Bir pamuk parçasını karışıma daldırın ve dişlerinize sürün. Bir dakika kadar karışım dişlerinizde kalsın.

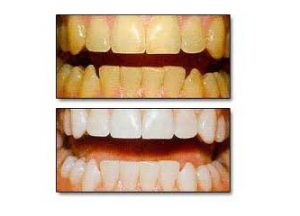
Dişinizi fırçalayarak dişlerinizi karışımdan temizleyin. Karışımı dişlerinizde bırakmamaya özen gösterin, asidik olduğu için dişlerinizi aşındıracaktır.Bunu dişleriniz beyazlayana kadar haftada bir ya da iki kere tekrarlayın.Son zamanların çılgınlarından biri de aktif karbon ile diş beyazlatma furyası.

New Jersey’li diş hekimi Joseph Banker, aktif karbonun diş beyazlatmada inanılmaz etkili olduğunu belirtiyor. Az miktarda aktif karbon ve suyu karıştırıp dişleri fırçalarsanız beyazlatma etkisini göreceğinizi iddia ediyor. Tabii ki ağzınızı karbon tamamen gidene kadar durulamak ve asla yutmamak gerekiyor.

Antibakteriyel karbonatlı karışım
1 çay kaşığı karbonata aynı miktarda zeytinyağı ekleyin ve üzerine birkaç damla limon sıkın. Elde ettiğiniz karışımla dişlerinizi fırçalayın. Haftada 2 kez uygulayacağınız bu karbonatlı karışım hem dişlerinizin rengini açacak hem de ağzınızdaki bakterileri yok edecek. Bu işlem için ayrı bir diş fırçası kullanın. Yağlı kalmaması için bir süre limonlu suda bekletebilirsiniz.

Adaçayı ve tarçın
Bir çay kaşığı adaçayı ile bir çay kaşığı toz tarçına birkaç damla limon damlatın. Bir fincanda iyice karıştırdığınız malzemelerle dişlerinizi fırçalayın. Haftada 3 kez tekrarlayın…

Gliserin beyazlatır ve çürüklerden korur
Diş fırçanıza birkaç damla gliserin damlatmanız yeterli. Dişlerinizi beyazlatan gliserin aynı zamanda bakterileri öldürerek diş çürümelerinin de önüne geçer….

Sararan dişleri evde doğal yöntemlerle beyazlatmak ve parlatmak mümkün. Tek dikkat etmeniz gereken, dişlerinizin arasında kalacak artıkların çürümelere neden olmaması için her uygulamadan sonra ağzınızı iyice çalkalamanız.

Ağız ve diş sağlığı tüm vücudun sağlıklı çalışması, organların fonksiyonlarını yerine getirebilmeleri için önemlidir. Bunun için bilinen en klasik yöntem günde en az 2 kez dişleri yumuşak uçlu bir diş fırçası ve güvenilir bir diş macunu ile fırçalamaktır.

Diş fırçasının ağızdaki fonksiyonlarını artırmak için farklı başlıklar, şarjlı cihazlar bulmak mümkün. Ancak dişleri sadece fırçalayarak diş aralarına kaçan yiyecek kırıntılarının tamamını temizlemek diş aralarına ulaşmak mümkün olmayabiliyor.

Bu sebeple diş hekimleri günde bir kez özellikle akşamları yatmadan önce diş aralarını fırçadan sonra bir de diş ipi ile temizlemeyi öneriyorlar. Bunun yanında ağız içini zararlı bakterilerden ve virüslerden arındırmak için üretilen ağız bakım sularının da çok faydalı olduğu biliniyor.
























Türkçe karakter kullanılmayan ve büyük harflerle yazılmış yorumlar onaylanmamaktadır.