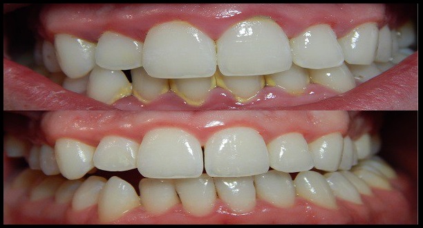
Kimyasal kullanmadan diş tartarlarından kurtulmak mümkün. Dişlerinizi her yemekten sonra düzenli olarak ve mümkünse anti tartar özelikli diş macunuyla fırçalamalısınız. Diş fırçasının erişemediği yerler için diş ipi kullanmalısınız. Şekerli ve yapışkan 
yiyecekleri mümkün olduğunca az tüketmelisiniz. Ceviz Kabuğu İle Diş Tartarı Temizleme Ceviz kabuğunu 20 dakika kaynatın. Ve kaynayan suyu soğumaya bırakıp üstünü kapatın. Soğduktan sonra diş fırçanızı 10 dakika bu suyun içinde bekletin. Temizlenmiş dişlerinizi bu suyla fırçalayın. Günde 3 kez kullanabileceğiniz bu suyla dişlerinizdeki tartarların azaldığını göreceksiniz. Ceviz kabuğu antibakteriyal özelliğiyle bilinmektedir. Yüzyıllardan beri yara ve ağız, diş sorunlarının tedavisinde kullanılmaktadır. Doğadan yardım almaktan kaçınmayın. SEVDİKLERİNİZ İÇİN MUTLAKA PAYLAŞIN.
























Türkçe karakter kullanılmayan ve büyük harflerle yazılmış yorumlar onaylanmamaktadır.